Brustkrebs Pathologie

Ist Brustkrebs gleich Brustkrebs ?

Nein, es gibt verschiedene Typen von Brustkrebs, sowohl was das Aussehen des Tumors unter dem Mikroskop betrifft, als auch die Eigenschaften und das Verhaltens des Tumors selbst (siehe auch Was ist Brustkrebs?).

Gut, dass es den Pathologen gibt ….

… denn er ist es, der den Tumor feingeweblich untersucht, und so feststellt, ob die Krebszellen hormonempfindlich sind (also in ihrer Entwicklung und ihrem Wachstum durch Hormone gefördert werden). Ist dies der Fall, wird die Therapie darauf abzielen, die Wirkung der Hormone auf den Tumor zu blockieren und ihn so zu behindern.

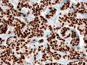
Weichenstellung für die Behandlung

Östrogenkernrezeptorpositives MammakarzinomDer Pathologe stellt überdies fest, auf welche Medikamente der Tumor besonders gut anspricht, und auf welche weniger. So kann verhindert werden, dass die Frau unnötigerweise einer Behandlung ausgesetzt wird, die letztendlich nur eingeschränkt oder gar nicht wirken würde.

Diese Untersuchungen werden zumeist schon vor der eigentlichen Tumoroperation an einer Gewebeprobe (Stanze) erhoben, sodass – sollte es notwendig sein - bereits vor der Operation mit der Therapie begonnen werden kann. So ist eine auf den individuellen Tumor zugeschnittene – und damit möglichst effiziente - Therapie garantiert.

Untersuchung während der Operation

Brustkrebs GefrierschnittDa der Pathologe vor Ort ist, kann bereits während der Operation der Tumor analysiert werden. Mit der Gefrierschnittmethode erhält der Operateur wichtige Auskunft darüber, ob der Tumor vollständig entfernt wurde, und  ob der erste im Abflussgebiet des Tumors liegende Lymphknoten befallen ist oder nicht.

Sollte dieser tumorfrei sein, kann auf die Entfernung aller Lymphknoten in der Achselhöhle verzichtet werden, was der Frau spätere oft unangenehme Nebenwirkungen im Arm der betroffenen Seite erspart.

 

Zum Seitenanfang